30daa631 d0c4 432b a4d3 9c67195a159f

Understanding Pelvic Floor Disorders and how Canopy Imaging can help

What Are Pelvic Floor Disorders?

Pelvic floor disorders are common, affecting up to 25% of women. They can occur when the muscles and tissues that support the pelvic organs become weak or damaged, usually due to childbirth, aging, or other health issues.  When that support is lost, the pelvic organs can move more than they should, leading to a range of symptoms such as:

  • Pain or heaviness in the pelvis
  • Incontinence of urine or stool
  • A feeling of bulging or pressure in the vagina or rectum (prolapse)
  • Difficulty emptying the bladder or bowel 

 

Risk Factors for Pelvic Floor Disorders

Pelvic floor disorders can affect anyone, but some factors make them more likely. Being female is the biggest risk factor, but others include:

  • Older age
  • Pregnancy and childbirth
  • Previous pelvic surgery
  • Increased pressure in the abdomen over a long period of time (e.g., from  chronic coughing, obesity, or constipation)

 

Investigating Pelvic Floor Disorders

These disorders can sometimes be difficult to diagnose and manage. A detailed medical history and physical examination are important first steps, but this might not always show the full picture.

The pelvic floor is a complex area, so if the cause of symptoms isn’t clear, or if surgery is being considered, additional imaging may be helpful to understand how the pelvic floor is functioning. This involves dynamic imaging (where you’re asked to bear down or have a bowel motion) using special X-rays, ultrasound, or a MRI scan.  At Canopy Imaging, we use MRI to assess pelvic floor problems, and have trained staff who specialise in this type of imaging.

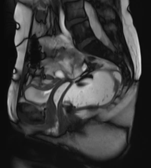
Pelvic Floor MRI (MRDP) at Canopy Imaging

Pelvic floor MRI (Magnetic Resonance Defaecating Proctography) is a specialised scan that uses magnetic fields to create images of your pelvic organs and muscles, allowing our team to see how these structures move when you're relaxing, straining, and passing a bowel motion. The scan is non-invasive, painless, and does not use radiation.

Pelvic floor MRI allows doctors to assess both the pelvic organs and the support structures (muscles and ligaments), and to identify problems such as prolapse, blocked bowel emptying (obstructed defaecation), internal folding of the bowel (intussusception), or problems coordinating the pelvic floor muscles (dyssynergia).

MRDP at Canopy Imaging

At Canopy Imaging, we have specialist MRI technologists and radiologists who are experienced at making you feel comfortable and relaxed during your MRDP. We offer this service at most of our MRI locations. 

Our Canopy Imaging staff will provide you with information and instructions about MRDP at the time of booking. A report will be sent to your specialist a few days after your examination.

 

Update: Information regarding cyber incident. (October 2025)